Therapie

Offene Varizenoperation (Stripping)

In den letzten 100 Jahren des vergangenen Jahrtausends wurden Krampfadern durch das sogenannte Stripping entfernt. Dazu wurde die oberflächliche Stammvene kurz vor der Einmündung in die tiefe Vene durchtrennt und ligiert, ein Draht in der Vene bis zum unteren Insuffizienzpunkt vorgeschoben, dort ausgeleitet und dann die Vene mit einem am oberen Ende des Drahtes befestigten Metallkopf herausgerissen.

Beim gewaltsamen Herausreißen der Stammvene mit dem Stripper oder der Seitenäste mit dem Varadyhäkchen entstehen regelmäßig Kollateralschäden an den neben der Vene verlaufenden Lymphgefäßen und Hautnerven mit nachfolgenden Lymphabflußstörungen, Lymphfisteln und Gefühlsstörungen im Op-Gebiet.

Aus den abgerissenen Seitenästen blutet es in den Extraktionskanal mit Ausbildung schmerzhafter Blutergüsse. Deshalb besteht nach der Operation in der Regel eine mehrtägige bis mehrwöchige Arbeitsunfähigkeit. In Österreich werden die Patienten meist eine Woche stationär behandelt. Da eine zweizeitige Operation bei doppelseitiger Varikosis besser bezahlt wird als die gleichzeitige Operation beider Beine, müssen die Patienten zwei Narkosen und zwei Operationen über sich ergehen lassen.

Im weiteren Verlauf wachsen aus der freiliegenden Gefäßinnenhaut der verbliebenen Gefäßstümpfe neue Venen aus, so wie aus den Aststümpfen eines Baumes nach Beschneidung neue Äste austreiben.

Die Rezidivrate durch solche Gefäßneubildungen liegt bei 20% pro Jahr.

Im Bereich der Crosse können diese Rezidive durch die in der Abbildung unten gezeigte Methode der Stumpfversorung mit bündigem Abtrennen der Vena saphena magna von der Vena femoralis mit fortlaufender Naht der Femoralvene weitgehend vermieden werden, nicht aber an den Stümpfen der abgerissenen und unversorgten Seitenäste.

Die Vena saphena magna wird nicht wie üblich unter Bildung eines mehr oder weniger langen Stumpfes ligiert, sondern der gesamte Mündungstrichter wird nach Ausklemmen bündig an der Vena femoralis abgesetzt
Die Vena femoralis wird fortlaufend genäht

Das Herausreißen der Vene mit dem Stripper ist ein blindes Verfahren, bei dem der Operateur keine Kontrolle darüber hat, wo der Stripper nach Einführen in die Vene entlangläuft. Mehr als 50% der Bevölkerung haben eine Doppelanlage der Vena saphena magna.

Wenn dies nicht durch eine gründliche präoperative Ultraschalluntersuchung durch den Operateur selbst nachgewiesen wurde, wird nur ein Ast gestrippt, durch den verbliebenen zweiten entstehen frühzeitig Rezidivvarizen.

Der akzessorische zweite Saphenaast kann wie die normale Saphena in der gleichen Faszienduplikatur verlaufen, in einer zweiten oder subkutan. Dann wird bei einer Operation durch in der Gefäßanatomie unerfahrene Chirurgen und insuffizienter präoperativer Sonographie der akzessorische subkutane Ast von dem als tiefe Vene fehlgedeuteten intrafaszialen Saphenahauptstamm abgesetzt und gestrippt. Beschwerden und Varizen am Unterschenkel bleiben dann bestehen. Dies ist der häufigste Fehler bei der offenen Krampfaderoperation .

Doppelung der Vena saphena magna in der gleichen Faszienduplikatur
Doppelung der Vena saphena magna in zwei verschiedenen Faszienduplikaturen, zusätzlich dritte subkutane Vena saphena akzessoria medialis
Doppelung mit zwei gleich großen Ästen intrafaszial und subkutan
Doppelung mit variköser Vena saphena akzessoria medialis subkutan und normal weiter Vena saphena magna intrafaszial, beim Valsalva Reflux in beiden Ästen
Doppelung der Vena saphena magna in zwei verschiedenen Faszienlogen
Bei Bauchpresse Reflux nur in einem Ast der doppelten Vsm
Doppelung mit variköser Vena saphena magna intrafaszial und unauffälliger Vena saphena akzessoria medialis subkutan
 

Miniphlebektomie

Bei der Miniphlebektomie werden variköse Seitenäste über Stichinzisionen mit einer modifizierten Häkelnadel (Varadyhäkchen) aus dem subkutanen Gewebe herausgezogen. Leider kann das Häkchen nicht zwischen Varize, Lymphgefäß und Nerv unterscheiden und entfernt alles, was sich  ihm in den Weg stellt. Kollateralschäden an Lymphgefäßen und Hautnerven sind deshalb die Regel. Genauso unselektiv und komplikationsbehaftet ist das mancherorts noch praktizierte Herausfräsen von Varizen und benachbarten Strukturen mit einem modifizierten Arthoskopieshaver (TRIVEX).

Endovaskuläre Varizenoperation

Wesentlich patientenfreundlicher und volkswirtschaftlich günstiger ist der heute mögliche minimalinvasive endovaskuläre Verschluß von Krampfadern. Dabei wird die insuffiziente Vene ambulant in Lokalanästhesie unter Ultraschallkontrolle punktiert, ein Katheter eingeführt und die Vene thermisch oder chemisch verschlossen. Die Patienten sind im Anschluß wieder voll einsatzfähig. Wer es eilig hat, kann bis 11 Uhr arbeiten, in der Mittagspause seine Varizen verkleben lassen und um 13 Uhr völlig unbeeinträchtigt wieder zur Arbeit gehen. Neben der geringeren Invasivität mit entsprechend selteneren Nebenwirkungen liegt der entscheidende Vorteil der endovaskulären Techniken darin, dass es kontrollierte Verfahren sind, da sie unter kontinuierlicher  Bildgebung mit Ultraschall erfolgen, und der Operateur sieht, welche Vene er behandelt und ob sie am Ende der Prozedur tatsächlich verschlossen ist. Die nach blindem Stripping üblichen Reoperationen im Zweijahrestakt wegen Rezidivvarikosis sind damit Vergangenheit. Leider hat sich das noch nicht bis zu den gesetzlichen Krankenkassen  in Österreich rumgesprochen. Die weigern sich nach wie vor, ambulante Varizenoperationen zu bezahlen, die nur halb soviel kosten, wie stationäre. Die nach der offenen stationären Operation übliche mehrwöchige Arbeitsunfähigkeit interessiert die Krankenkassen ohnehin nicht, da diese Kosten an den Arbeitgebern hängen bleiben.

Das Tragen eines Kompressionsstrumpfes für eine Woche wird nach endovaskulären Operationen empfohlen, insbesondere wenn simultan Seitenäste sklerosiert wurden.

Da im Gegensatz zum Stripping keine Narben entstehen, die nicht dem Sonnenlicht ausgesetzt werden dürfen, können endovaskuläre Operationen ohne Nachteil ganzjährig durchgeführt werden.

Bei den thermischen Methoden wird ein Katheter vom unteren Insuffizienzpunkt bis zur Mündung in die tiefe Vene eingeführt und dann die Vene entweder mit Laserlicht oder mit Hochfrequenzstrom erhitzt.

Laser

Die Laserverfahren unterscheiden sich durch die verwendete Wellenlänge und die verwendete Glasfaser. Frontal abstrahlende bare fiber-Systeme sollten für Stammveneninsuffizienzen nicht mehr verwendet werden, da die  Glasfaser bei gekrümmtem Venenverlauf nicht im Zentrum des Venenlumens liegt, sondern der Venenwand anliegt und Löcher in diese schießt, was zu postoperativen Blutergüssen führt. Systeme mit radiär abstrahlenden Fasern haben diese Nebenwirkung nicht.

Auch die Wellenlänge des Lasers beeinflusst das Nebenwirkungsprofil. Das Licht des 840 nm Lasers wird von Hämoglobin resorbiert. Dabei entstehen Temperaturen von 1000 Grad. Das führt zu Karbonisierung der Venenwand und Perforationen mit Ausbildung von Blutergüssen. Auch die benachbarten Nerven können thermisch geschädigt werden.

Der 1470 und 1940 nm Laser wird von Wasser resorbiert. Die dabei auftretenden Temperaturen sind wesentlich niedriger und verursachen lediglich eine Venenschrumpfung, die umliegenden Strukturen werden geschont.

Die Effektivität dieser Radiallaser und der bipolaren Radiofrequenzablation sind identisch, das Handling des Lasers wegen der vorgeschriebenen Laserschutzmaßnahmen etwas aufwendiger.

Der 1940 nm Laser hat bei niedriger Energie eine geringe Eindringtiefe und ist deshalb so schonend und schmerzarm, daß er von den meisten Patienten ohne Lokalanästhesie toleriert wird.

Mit dem Radiallaser läßt sich die Energieapplikation millimetergenau platzieren, so dass eine der offenen Crossektomie vergleichbare Lasercrossektomie mit Verschluß aller Seitenäste möglich ist. Die Vena akzessoria anterior wird immer zusätzlich zur Vena saphena magna punktiert und gelasert, andere Seitenäste wenn sie so groß sind, daß sie katheterisiert werden können.

1940 nm Laser simLa®6
(https:/ims-medical.de)
Radial abstrahlende Laserfaser
Punktion der Vsm unter sonographischer Kontrolle
Einführen des Laserkatheters
Laserkatheter an der Einmündung der Vena saphena magna in die Vena femoralis
Nach EVLA Verschluß der Crosse bündig an der Vena femoralis
Nach Lasercrossektomie sind Vena saphena magna, Vena epigastrica superfizialis und Vena saphena anterior verschlossen

Die 87-jährige multimorbide Patientin hat seit 10 Jahren infolge einer Varikosis offene Beine, die nie abgeheilt sind, obwohl sie alles über sich hat ergehen lassen, was gut und teuer in der Wundbehandlung ist.
Ausgehend von den Ulcera hatte sie mehrfach einen Rotlauf und dadurch zusätzlich zur venösen Insuffizienz auch ein Lymphödem beidseits.
Ihre Hausärztin hat sie dreimal an eine Gefäßambulanz überwiesen mit der Bitte um Sanierung der für die Ulcera ursächlichen Varizen. Dreimal wurde sie abgewiesen. Für eine Operation sei sie viel zu alt und zu krank, außerdem könne an den infizierten Beinen eh nicht operiert werden, erst müssen die Ulzera abgeheilt sein.
Seit 3 Jahren ist sie im Pflegeheim und wird durch eine spezialisierte Wundambulanz betreut. Dennoch wurde der Befund immer schlimmer und sie entwickelte Kontaktallergien gegen die im Leistungskatalog der ÖGK gelisteten Verbandsstoffe. Da die Schwestern nicht mehr wußten, wie sie die Ulcera verbinden sollten, baten sie mich um Hilfe.

Wir haben die Ulcera mit dem nicht gelisteten UrgoStart Plus verbunden, die Beine mit dreimal täglich 30 min IPK entstaut, dann die insuffiziente Vena saphena magna beidseits mit dem      1940 nm Radiallaser simLa® 6 (iMS GmbH medizinische Laser Tutzing) mit Radialsonde REF 600 (Oberon Fiber Technologies Berlin) verschlossen. Für die Tumeszenzanästhesie wurden pro Bein lediglich 10 ml Xylocain 1% benötigt. Danach sind die Ulzera abgeheilt.

Dieser Patient hat nach einer Bagatellverletzung ein Ulcus im Bereich der rechten Achillessehne bekommen. Während 3 Monaten Behandlung in einer Krankenhausambulanz wurde das Ulcus ständig größer und schmerzhafter. Jede Woche wurde er von einem anderen Arzt gesehen, der immer ratloser als der Vorgänger war wegen des ständig größer werdenden Ulcus. Als man ihm mitteilte, dass eine Becken/Bein-Angiographie gemacht werden müsse, um eine arterielle Durchblutungsstörung auszuschliessen, bat er bei uns um eine Zweitmeinung.
Befund: 62-jähriger Mann mit morbider Adipositas WHO Grad III (BMI 43) mit Beeinträchtigung der Atemfunktion (Pickwick-Symdrom). Bauchumfang 145 cm, Sauerstoffsättigung im Stehen 89%, im Liegen 80%.
Beide Beine massiv geschwollen, rechts mehr mit Umfangsdifferenz von 5 cm. Braune Pigmentierung beider Unterschenkel. 3x4 cm großes, nekrotisch belegtes Ulcus über der rechten Achillessehne mit 4 cm breiter Umgebungsrötung und Erwärmung. Fußpulse alle kräftig tastbar. Im Labor Leukozytose, CRP-Erhöhung, Hyperlipidämie und dem Patienten bislang nicht bekannter Diabetes.                                                                   
Sonographisch Vena saphena magna rechts auf 10 mm erweitert und bis zum Sprunggelenk refluxiv. Linke Vena saphena magna nach Aortemklappenersatz und aortokoronarem Bypass entfernt. Vena saphena parva rechts auf 15 mm erweitert und bis zum Fuß refluxiv, linke Vena saphena parva 10 mm weit und refluxiv.
Wir haben das Ulcus scharf debridiert, mit einem Schaumstoffverband versorgt sowie einen 2-lagigen Kompressionsverband Urgo K2 angelegt. Nach Eingang des bakteriologischen Befundes (E. Coli) antibiotische Behandlung mit Ciproxin über 10 Tage. Am 8. Tag der antibiotischen Behandlung erfolgte die endovenöse Laserablation der Vena saphena magna rechts und der Vena saphena parva beidseits mit 1940 nm Radiallaser.
4 Wochen postoperativ ist das Ulcus abgeheilt.

Krampfaderbehandlung to go mit 1940 nm Radiallaser

Venefit (VNUS ClosureFast)

Bei der segmentalen thermischen Ablation mit dem Venefit-System (Medtronic) wird ein Katheter mit einer 7 oder 3 cm langen Heizspirale in die Vene eingeführt und 20 Sekunden auf 120 Grad erhitzt, dann 7 bzw. 3 cm zurückgezogen und wieder erhitzt. Das wird so oft wiederholt, bis die Punktionsstelle unterhalb des Kniegelenkes ereicht ist. Das Verfahren funktioniert nur, wenn die Vene dem Katheter anliegt. Es ist also nur für Varizen mit geringem Durchmesser geeignet und erfordert immer eine Tumeszenz mit hohen Volumina. In der IFU sind 10 ml pro cm Vene vorgeschrieben. Wenn mehrere Venen behandelt werden müssen, z.B. eine doppelte Vena saphena magna und eine Vena saphena akzessoria, was häufig der Fall ist, wird damit die höchstzulässige Menge an Lokalanästhetikum überschritten. Das Verfahren ist temperaturgesteuert, daraus resultieren inkonsistente Ergebnisse bei großlumigen Venen, die sich dem Katheter trotz Tumeszenz und manueller Kompression nicht anlegen. Wenn außer einem Hauptstamm Seitenäste oder Perforansvenen behandelt werden sollen, müssen dafür zwei oder drei verschiedene Applikatoren verwendet werden. Das erhöht den prozeduralen Aufwand und die Kosten. Laut IFU des Geräteherstellers darf die Sonde nur bis 2 cm vor die Einmündung der Vena saphena in die Vena femoralis vorgeschoben werden. Die Crosse mit allen Seitenästen bleibt also immer unbehandelt und führt regelmäßig zu Rezidiven, meist über die Vena saphena anterior. Dieses Verfahren kann also keinem Patienten mit gutem Gewissen empfohlen werden.

Venefit Generator und Katheter der Fa. Medtronic (früher Covidien)
Refluxive Crosse nach Venefit. Der Patient hat unverändert eine venöse Insuffizienz im Stadium C4c. Laut Bericht des behandelnden Krankenhauses ist alles in Ordnung und die Vena saphena magna verschlossen.
Aus der refluxiven Crosse wird eine subkutane mediale akzessorische Saphena gefüllt, die bis zum Sprunggelenk refluxiv ist.
In der IFU vorgeschriebene Katheterposition distal der Crosseseitenäste

Radiofrequenzinduzierte Thermoablation (Celon RFITT)

Ein schonendes und effizientes Verfahren ist die bipolare radiofrequenzinduzierte Thermotherapie (RFITT). Dabei wird ein Katheter mit zwei Ringelektroden an der Spitze, zwischen denen hochfrequenter Strom fließt, in die Vene eingeführt. Das um den Katheter entstehende Mikrowellenfeld erhitzt die Vene auf 80 Grad. Dadurch schrumpfen die Kollagenfasern und die Vene wird verschlossen. Das Verfahren ist impedanzgesteuert, das heißt, es wird der Behandlungserfolg am Zielorgan, der Vene, gemessen und akustisch sowie optisch übermittelt. Das Mikrowellenfeld ist weit genug, um auch großlumige Venen zu behandeln. Die Katheter der neuesten Generation (2018) sind so dünn und flexibel, daß mit einem Katheter sowohl Hauptstämme, als auch Seitenäste und Perforansvenen behandelt werden können. Da der Energiefluß immer zwischen erster und zweiter Ringelektode ist, kann der Katheter im Gegensatz zum Venefitkatheter bis an die Vena femoralis vorgeschoben und die Crosse verschlossen werden.

Thermische Verfahren mit hoher Eindringtiefe sind nur am Oberschenkel komplikationsfrei. Am Unterschenkel verläuft der Nervus saphenus unmittelbar neben der Vena saphena magna, der N. suralis neben der Vena saphena parva. Hier sind thermische Schäden an den Nerven mit passageren Gefühlsstörungen auch bei Umspritzung der Vene mit Tumeszenzlösung nicht vollständig vermeidbar.

 

 

Celon Radiofrequenzgenerator der Fa. Olympus
Celon Radiofrequenzkatheter mit zwei Ringelektroden an der Spitze, die ein Mikrowellenfeld um die Vene erzeugen
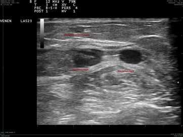
Platzierung des Radiofrequenzkatheters 1 cm vor Einmündung der Vena saphena magna in die Vena femoralis. Der Durchmesser der Vsm beträgt 7 mm.
Nach Energieapplikation ist der Durchmesser der Vsm auf 2 mm geschrumpft, das Lumen verschlossen.

Video RFITT

Stauungsdermatitis und multiple Ulcera bei Insuffizienz der Vena saphena magna
6 Wochen nach RFITT sind alle Ulcera abgeheilt

Venaseal

Beim Verkleben der Vene mit Cyanoacrylat (Venaseal) wird ein Silikonkatheter bis wenige Zentimeter vor die Einmündung in die tiefe Vene eingeführt, die Vene proximal mit dem Schallkopf komprimiert  und dann mit einem speziellen Applikator tröpfchenweise Kleber gespritzt, die Vene über dem Kleber mit der freien Hand komprimiert und der Katheter schrittweise zurückgezogen, bis die gesamte Vene verschlossen ist. Das Verfahren ist schmerzfrei, eine Lokalanästhesie deshalb nur an der Punktionsstelle erforderlich. Ein Kompressionsstrumpf ist im Gegensatz zum Stripping nicht zwingend erforderlich.

Das Verfahren ist deshalb vorteilhaft bei Patienten, die wegen einer arteriellen Durchblutungsstörung Kompressionsstrümpfe nicht anziehen dürfen oder die wegen Bewegungseinschränkung, z.B. bei Rheuma, Kompressionsstrümpfe nicht anziehen können.

Vorteilhaft ist das Verfahren bei Varizen der Vena saphena parva, wo wegen des direkten Kontaktes des N. suralis thermische Verfahren zu Nervenläsionen führen können.

Der Kleber darf erst 5 cm distal der Crosse gespritzt werden, die Crosseseitenäste bleiben also immer offen und können zu Rezidiven führen.

Nachteil ist der hohe Preis des Systems (derzeit 1500 €), der auch von Privatversicherungen nicht immer refundiert wird.

Der TPLC Datenbank der FDA wurden 899 schwerwiegende Komplikationen (482 allergische Reaktionen, 211 thromboembolische Ereignisse, 7 Schlaganfälle, 13 Todesfälle) gemeldet, die es bei anderen endovaskulären Verfahren nicht gibt ( K. Parsi et al.: Phlebology 2024; 39: 80-95).

Aus dem Cyanoacrylatkleber wird Formaldehyd freigesetzt (F. Leonhard et al.: J. of Appl. Polymer Sci. 1966; 10:259-272), das allergen wirkt sowie genetische Defekte und Krebs hervorrufen kann. Die Methode sollte deshalb mit großer Zurückhaltung angewendet werden.

Venaseal-Applikator der Fa. Medtronic

Schaumsklerosierung

Bei der Schaumsklerosierung wird über einen kurz vor der Einmündung der Vena saphena in die tiefe Vene liegenden Katheter bei erhobenem Bein und proximaler Kompression der Vene mit dem Ultraschallkopf mit Kohlendioxid aufgeschäumtes Polydocanol injiziert. Dies führt zu einem Spasmus der Vene und nachfolgender thrombotischer Obliteration. Das Tragen eines Kompressionsstrumpfes ist vorteilhaft. Bei genügender Deckung der Vene durch Fettgewebe ist der thrombotische Strang weder sichtbar noch tastbar, bei schlanken Patienten ist oft eine Stichinzision mit Exprimieren der Thromben erforderlich. In der Regel wird die Vene nach einiger Zeit sklerotisch umgewandelt. Bei 20% der Patienten kommt es nach Jahren zu einer Rekanalisation der Vene, was eine erneute Sklerosierung erforderlich macht. Je kleiner das Lumen der Vene, desto effektiver ist das Verfahren. Bei antikoagulierten Patienten ist die Erfolgsrate deutlich geringer, hier sind thermische Verfahren vorzuziehen.

Die Schaumsklerosierung ist auch das Verfahren der Wahl bei Seitenast- und Rezidivvarizen. Zudem ist sie die kostengünstigste Behandlungsmethode.

Rezidivvarizen nach Crossektomie und Stripping. Auffallend sind die Varizennester um die kosmetisch schlechten Narben nach Seitenastexhairese infolge Neovaskularisation aus den verbliebenen Gefäßstümpfen.
Schaumsklerosierung der Rezidivvarizen
86 jährige Patientin mit 20 Jahre bestehenden Ulcera
Nach ultraschallgezielter Schaumsklerosierung der Vena saphena magna und der insuffizienten Perforansvenen Abheilung innerhalb 6 Monaten

Das zur Sklerosierung verwendete Polydocanol (Äthoxysklerol) ist millionenfach bewährt, die Injektion ist schmerzfrei und Nebenwirkungen sind selten.

Nicht angewendet werden darf die Schaumsklerosierung bei Patienten mit Vorhofseptumdefekt bzw. Foramen ovale apertum.

Vor 100 Jahren hat man in Ermangelung besserer Alternativen zur Sklerosierung Sublimat oder gesättigte Kochsalzlösung verwendet. Es gibt auch heute noch Ärzte und vor allem Heilpraktiker, die dieses obsolete Verfahren immer noch anwenden und als "biologisches Verfahren" anpreisen. Dabei wird Kochsalzlösung in der 60-fachen biologischen Konzentration injiziert. Diese ist nicht biologisch, sondern hoch giftig.

Sie verursacht bei ausnahmslos jedem Patienten heftige Schmerzen und Krämpfe, bei Extravasation Hautnekrosen und bei zu hoher Dosis tiefe Beinvenenthrombosen und tödliche Lungenembolien. Die Zufuhr hoher Mengen an Chloridionen, wie bei diesem Verfahren üblich, kann insbesondere bei Nierenkranken, Herzkranken und Menschen mit hohem Blutdruck zu ernsten Komplikationen führen.

Insuffiziente Perforansvenen, die wegen eines Ulcus cruris verschlossen werden müssen, können nach ultraschallgezielter Punktion entweder mit Laser, Radiofrequenz oder Mikroschaum verschlossen werden. Ein Verkleben mit Cyanoacrylat ist nicht möglich, da dieses durch eine trockene Nadel gespritzt werden muß und eine Überprüfung der korrekten Lage der Nadel durch Aspiration von Blut deshalb nicht möglich ist. Da neben jeder Perforansvene auch eine perforierende Arterie liegt, die nicht verödet werden darf, ist diese aber zwingend erforderlich.

Schallkopf mit Punktionsführung für ultraschallgezielte Sklerosierung

Hochfrequenzelektrolyse

Sehr kleine Besenreiservarizen werden mit Hochfrequenz-Elektrolyse behandelt. Das kosmetische Ergebnis ist deutlich besser als nach Sklerosierung, allerdings ist das Verfahren extrem zeitaufwendig und daher auch kostenintensiver. Von sehr empfindsamen Patienten wird es als schmerzhaft beschrieben.

Besenreiser am Unterschenkel
Befund unmittelbar nach Hochfrequenzelektrolyse

Je nach Ausprägung der Varikosis, Konstitution des Patienten, kosmetischen Bedürfnissen und finanziellen Möglichkeiten  muß ein Konsens über das anzuwendende Verfahren bzw. eine Kombination verschiedener Verfahren gefunden werden, um ein optimales Ergebnis zu erzielen.

NICE Guidelines

Der Erfolg der Behandlung von Varizen korreliert mit den Kenntnissen des behandelnden Arztes in der Gefäßsonographie und der Gefäßanatomie sowie ihren Variationen.

Kein Mensch würde sich in einen Bus setzen, wenn der Fahrer keine Fahrerlaubnis hat.

Alle lassen sich aber von Ärzten sonographieren, die über keine zertifizierte Ultraschallausbildung verfügen und auch die Gefäßanatomie nicht sicher beherrschen.

Ich habe in den letzten fünf Jahren 400 Patienten mit Rezidivvarizen nach Crossektomie und Saphenastripping behandelt, bei denen die angeblich entfernte Vena saphena magna noch vollständig vorhanden war.

Patientin mit Rezidivvarizen nach 13 Varizenoperationen, davon 8x mit Leistenrevision.
In der rechten Leiste sehr langer Saphenastumpf, der eine Regeneratvene speist.
Typisches Regenerat mit korkenzieherartigem Verlauf bis zum Unterschenkel
In der linken Leiste ist die ursprüngliche Vena saphena, die bereits bei der ersten Operation entfernt worden sein sollte, noch vorhanden und insuffizient
Vena saphena am mitteren Oberschenkel im Längsschnitt
Vena saphena im Querschnitt.
Die Patientin ist eine privat versicherte VIP und nicht von chirurgischen Novizen operiert worden
 

Nach den Guidelines des National Institute for Health and Care Excellence (NICE) sollen alle Patienten mit einer Varizenblutung, einer Stammveneninsuffizienz, Rezidivvarizen und Hautveränderungen infolge chronisch venöser Insuffizienz sowie einer Phlebitis einem Gefäßmediziner zugewiesen werden. Tatsächlich werden viele nie einem Gefäßspezialisten vorgestellt und sicher 90% der Varizenpatienten von Allgemeinchirurgen untersucht und operiert, und zwar nach der Methode, die laut NICE nur 3. Wahl ist.

In den NICE Guidelines ist die Methode der ersten Wahl die thermische endovenöse Obliteration mittels Radiofrequenz oder Laser.

Wenn diese nicht möglich ist, soll eine ultraschallgezielte Schaumverödung vorgenommen werden. 

Nur wenn auch diese nicht möglich ist, soll eine offene Operation angeboten werden.

nice.org.uk/guidance/cg168

79 jährige Patientin mit Insuffizienz der Vena saphena magna und parva und Ulcera seit dem 20. Lebensjahr. Sie wurde 3x pro Woche verbunden, aber nie einem Gefäßmediziner vorgestellt, um die ursächliche venöse Insuffizienz zu behandeln. Die Patientin wohnt nicht in Zentralafrika, sondern in Bayern. Sie hat aber das Pech, privat versichert zu sein. Da wird der Verbandswechsel so gut honoriert, dass ein nicht heilendes Ulcus für den Hausarzt so gut wie eine Lebensversicherung ist.

Kontakt

PD Dr. Friedrich Reichenbach
Facharzt für Chirurgie und Gefäßchirurgie

A 6342 Niederndorf
Kaiserweg 4
Tel.: +43 5373 57024

D 83080 Oberaudorf
St.-Josefs-Spital-Str. 6c
Tel.: +49 8033 695302

E-Mail: dr.reichenbach(at)gefaesschirurg.info
Website: www.gefaesschirurg.info

Termin vereinbaren

DeutschlandBayern